폐질환 혁신적인 연구 및 치료 기술 발전
폐질환 진단과 치료 방법에 대한 혁신적인 연구와 기술 발전:
- 폐질환의 정확한 진단을 위해 현대 의학 기술이 발전하고 있습니다.
- 치료 기술도 점차 발전하며 환자들에게 더 나은 치료 방법을 제공하고 있습니다.
- 혁신적인 연구들은 폐질환 환자들의 삶의 질을 향상시키는 데 큰 영향을 미치고 있습니다.
| 연구 내용 | 기술 발전 |
|---|---|
| 폐질환의 조기 진단 방법 연구 | 최신 영상 기술을 활용한 정확한 진단 방법 개발 |
| 치료 기술의 혁신적 발전 | 면역 요법 및 약물 치료의 효율적인 적용 |
폐질환 진단과 치료 방법에 대한 혁신적인 연구와 기술 발전은 폐질환 환자들에게 효과적인 치료와 관리를 제공하는 데 중요한 역할을 합니다. 최근의 연구 결과를 통해 이러한 기술적 발전은 수술 및 약물 치료에서부터 미리 예방 및 조기 진단에 이르기까지 다양한 영역에서 이루어지고 있습니다. 이러한 혁신적인 연구들은 폐질환 환자들의 삶의 질을 향상시키고 항상적인 치료에 대한 희망을 제공합니다. 폐질환 진단과 치료 방법에 대한 혁신적인 연구와 기술 발전을 효과적으로 활용하기 위해 다음과 같은 요약을 제시합니다:
- 신속한 진단: 최신 기술을 활용한 폐질환의 빠른 진단과 정확한 분석
- 맞춤형 치료: 환자의 상태에 맞춘 맞춤형 치료 프로그램 및 치료 방법 제공
- 치료 효과 모니터링: 치료 과정을 철저히 모니터링하여 환자의 상태 변화를 확인하고 적절한 조치를 취함
| 연구 분야 | 주요 기술 |
|---|---|
| 영상 진단 | CT, MRI, PET 등을 활용한 정교한 영상 분석 기술 |
| 유전자 분석 | 유전자 변이를 식별하여 개인 맞춤형 치료 방법 개발 |
| 면역학 | 면역학적 치료 및 면역 반응 효과 분석 |
폐질환 진단과 치료에 대한 혁신적인 연구와 기술 발전은 환자들의 생존율과 삶의 질을 향상시키는 데 큰 기여를 할 것으로 기대됩니다. 이러한 발전을 통해 폐질환 환자들은 더 나은 치료와 관리를 받을 수 있을 뿐만 아니라 더 긍정적인 전망을 가질 수 있게 될 것입니다.
폐질환의 현재 연구 동향
폐질환 진단 및 치료 방법
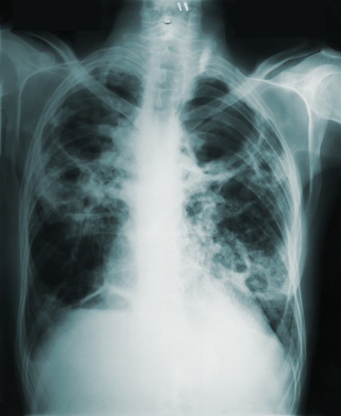
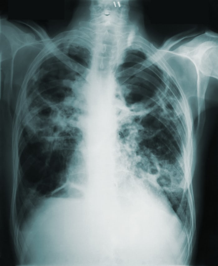
- 진단: 폐질환의 진단은 X-레이, CT 스캔, 혈액검사 등을 통해 이루어집니다.
- 치료: 호흡기 재활, 약물 치료, 수술 등을 통해 폐질환을 치료할 수 있습니다.
| 연구 분야 | 주요 내용 |
|---|---|
| 면역학 | 면역치료를 통한 폐질환이 억제되는 메커니즘 연구 |
| 유전학 | 유전자 변이와 폐질환 발병 간의 상관성 연구 |
폐질환의 전망 폐질환의 치료 방법 및 연구 동향이 더 발전되어 환자들에게 더 나은 치료 옵션을 제공할 것으로 기대됩니다. 이는 폐질환 환자들의 생존율 및 삶의 질을 향상시킬 것으로 전망됩니다.폐질환의 진단과 치료에 대한 연구는 끊임없이 진행되고 있습니다. 폐암의 조기 진단을 위한 검사 방법이 더욱 정교해지고 있으며, 최신 기술인 인공지능을 활용한 진단법도 연구되고 있습니다. 또한, 폐렴이나 만성폐쇄성폐질환을 치료하기 위해 투석 치료나 치료제 등의 방법도 개발되고 있습니다. 이러한 연구 동향과 전망을 요약하면 다음과 같습니다:
- 폐질환의 진단 및 치료 방법 연구가 활발히 진행 중이다.
- 폐암의 조기 진단을 위한 다양한 검사 방법이 개발되고 있다.
- 인공지능을 활용한 진단법이 주목을 받고 있다.
- 만성폐쇄성폐질환을 치료하기 위한 신약 개발이 활발히 이루어지고 있다.
| 연구 분야 | 중요한 진전 |
|---|---|
| 폐암 진단 | 다양한 정교한 검사 방법 개발 중 |
| 폐질환 치료 | 투석 치료와 신약 개발에 주력 중 |
폐질환 치료 기술의 혁신
폐질환 치료 기술은 최근 혁신적인 발전을 거듭하고 있으며, 이에 따른 연구 동향 역시 계속 진행 중입니다. 기술적 발전과 연구 결과를 통해 폐 질환 환자들에게 더 나은 치료 방법을 제공하고 있습니다.
- 면역요법의 응용: 폐 질환의 치료에 있어서 면역요법이 활발히 연구되고 있습니다. 면역치료는 환자 개인의 면역 체계를 활용하여 질병을 효과적으로 억제하는 방법으로, 암 치료에도 활용되고 있습니다.
- 유전자 치료: 폐 질환의 유전자 치료 기술은 환자의 유전자를 수정하여 질병을 조절하는 방식으로 연구되고 있습니다. 소포체들을 통해 유전자를 전달하는 기술적 발전이 이루어지고 있습니다.
- 신약 개발: 폐질환 치료를 위한 새로운 약물의 개발 또한 활발히 이루어지고 있습니다. 기존 치료법보다 효과적이고 안전한 치료제의 발굴을 목표로 다양한 연구가 진행 중입니다.
이러한 혁신적인 기술과 연구 결과는 폐질환 환자들에게 효과적인 치료 방법을 제공하고, 질병에 대한 예방 및 조절에 기여하고 있습니다. 이에 따라 폐질환 치료 기술의 더욱 발전된 모습을 기대할 수 있습니다.최근 폐질환 치료 기술은 혁신적으로 발전해왔습니다. 다양한 연구가 진행되고 있으며, 그 동향을 살펴보면 매우 흥미로운 결과들이 있습니다. 폐질환 치료 기술의 발전은 환자들에게 많은 혜택을 주고 있습니다. 예를 들어, 이전에는 치료가 어려운 폐암도 더 효과적으로 치료할 수 있는 기술이 개발되었습니다. 또한, 폐성형술이나 제대로 된 호흡 재활 등의 치료 기술도 혁신적으로 발전하고 있습니다. 이러한 연구는 전 세계적으로 주목받고 있으며, 폐질환 환자들에게 효과적인 치료법을 제공하기 위해 끊임없이 진행되고 있습니다. 따라서, 현재의 동향은 매우 긍정적이며 향후에도 더 많은 혁신적인 발전이 기대됩니다. 폐질환 치료 기술의 혁신적 발전과 연구 동향에 대한 요약은 다음과 같습니다:
- 폐질환 치료 기술의 혁신적 발전
- 폐암 치료 기술의 향상
- 폐성형술 및 호흡 재활 치료 기술의 혁신
- 폐질환 치료 기술의 연구 동향
- 세계적인 주목 및 환자들에게 효과적인 치료법 제공
- 더 많은 혁신적 발전이 기대됨
폐 췌내증 최신 연구
폐 췌내증은 췌장이 염증을 일으켜 주변 조직에 손상을 입히는 질병으로, 최근 연구 동향과 향후 전망에 대해 알아보겠습니다.
- 염증 반응: 폐 췌내증의 발생 메커니즘 및 염증의 영향을 분석한 연구가 활발히 진행 중입니다.
- 신약 개발: 새로운 치료제 및 예방법 개발을 위한 연구가 진행 중이며, 향후 치료 방법에 대한 기대가 높아지고 있습니다.
- 유전자 연구: 폐 췌내증의 유전적 요인을 밝히고 그에 따른 예방 전략을 모색하는 연구가 진행 중입니다.
| 연구 분야 | 주요 내용 |
|---|---|
| 염증 반응 연구 | 폐 췌내증의 염증 메커니즘을 해석하고 치료법 모색 |
| 신약 개발 연구 | 새로운 치료제 및 예방법 개발에 대한 연구 및 기대 |
| 유전자 연구 | 폐 췌내증의 유전적 영향을 분석하고 예방 전략 수립 |
최근 폐 췌내증에 대한 연구 동향과 전망은 매우 흥미로운 주제입니다. 다양한 연구 결과를 통해 폐 췌내증의 병인과 치료 방법에 대한 이해가 더욱 깊어지고 있습니다. 한편, 최신 연구에서는 염증 반응과 면역 간 상호작용을 중심으로 다양한 방법론이 제시되고 있습니다. 이러한 연구 동향을 요약하면 다음과 같습니다:
- 폐 췌내증의 병인 연구: 염증 반응과 면역 간 상호작용에 대한 연구가 활발히 진행 중
- 치료 방법 연구: 면역 조절을 통한 치료 방법에 대한 다양한 시도가 이루어지고 있음
- 예방 연구: 폐 췌내증의 발병을 예방하기 위한 연구가 강화되고 있음
이러한 연구들이 더 많은 진전을 이루어, 폐 췌내증에 대한 치료와 예방에 있어 새로운 가능성을 제시할 것으로 기대됩니다. 이는 환자들에게 더 나은 치료와 삶의 질을 제공할 수 있는 중요한 연구 분야입니다. 최신 연구 결과를 주목하며 더 많은 발전을 기대해 봅시다.




폐암 초기증상 자세히 알아보기
폐암 초기증상 자세히 알아보기 폐암은 조기 발견이 중요한 질병입니다. 초기 증상을 잘 알아두고 신속히 대처하는 것이 생존율을 높이는 데 매우 중요합니다. 이번 글에서는 폐암 초기증상, 종
woka.wlog.co.kr