폐암 치료법
폐암은 폐에 발생하는 악성 종양으로, 조기 발견 시 생존률을 높일 수 있는 질병입니다. 치료법은 수술, 화학 요법, 방사선 요법 등이 있으며, 종양의 크기와 위치에 따라 적합한 치료법이 달라질 수 있습니다. 치료법에 관한 자세한 내용은 다음과 같습니다:
- 수술: 암 조직을 제거하는 수술로, 초기 단계에서 효과적일 수 있습니다.
- 화학 요법: 항암 약물을 투여하여 암 세포를 파괴하는 치료법입니다.
- 방사선 요법: 방사선을 이용하여 암 세포를 죽이는 치료법으로, 수술 전후나 대체 요법으로 사용될 수 있습니다.
위의 치료법들은 종양의 크기, 위치, 확산 정도 등을 고려하여 의사와 상의한 후 결정되어야 합니다. 폐암의 치료에 대해 자세히 알아보고 조기 발견과 치료로 더 많은 환자들이 생존할 수 있도록 노력하시기 바랍니다.폐암은 폐에서 발생하는 악성 종양을 의미하며, 조기에 발견되지 않으면 생명을 위협할 수 있는 심각한 질병입니다. 주요 증상으로는 기침, 가슴 통증, 호흡 곤란, 피로감 등이 있을 수 있으며, 특히 흡연이 주된 원인 중 하나로 알려져 있습니다. 폐암 치료법은 종양의 크기와 위치, 환자의 전반적인 건강 상태 등을 고려하여 결정됩니다. 주로 사용되는 치료법에는 수술, 화학 요법, 방사선 요법이 있으며, 종양이 조기에 발견되면 치료의 성공률이 높아질 수 있습니다. 요약:
- 폐암은 폐에서 발생하는 악성 종양을 의미한다.
- 주요 증상은 기침, 가슴 통증, 호흡 곤란 등이다.
- 흡연이 주된 원인 중 하나이다.
- 치료법에는 수술, 화학 요법, 방사선 요법 등이 있다.
- 치료의 성공률은 종양의 크기와 위치, 환자의 전반적인 건강 상태에 따라 달라진다.
폐암의 중요성
폐암은 세계적으로 매년 많은 사람들이 사망하게 되는 치명적인 질병 중 하나입니다. 폐암을 예방하고 조기 발견하기 위해서는 건강한 생활습관과 정기적인 건강검진이 중요합니다.
- 금연을 통해 흡연을 줄이거나 피하는 것이 폐암 예방에 효과적입니다.
- 채식이나 과일, 채소를 많이 섭취하여 체중을 관리하고 신체 활동을 유지하는 것도 중요합니다.
- 또한, 자외선을 피하고 유해한 환경으로부터 보호하는 것이 폐암을 예방하는 데 도움이 됩니다.
| 예방 방법 | 중요성 |
|---|---|
| 금연 | 효과적인 흡연 방지 |
| 규칙적인 건강검진 | 조기 발견의 중요성 |
| 건강한 식습관과 생활습관 유지 | 체중 관리와 건강한 신체 유지 |
폐암은 폐에서 발생하는 악성 종양으로, 조기 발견이 중요합니다. 그러나 현재까지는 폐암의 원인이 명확히 밝혀지지 않았지만, 흡연, 환경 오염, 유전적 요인 등이 원인으로 지목되고 있습니다. 폐암은 초기에는 증상이 거의 없어 진단이 어려울 수 있으므로 정기적인 검진이 필요합니다. 폐암을 예방하기 위해서는 특히 흡연을 피하고, 실내 공기를 깨끗하게 하고, 체중을 관리하며, 규칙적인 운동을 하는 등의 생활습관을 유지하는 것이 중요합니다. 또한 방사선에 노출되는 것을 피하고, 유해한 화학 물질과 공해된 환경을 피하는 것도 예방에 도움이 될 수 있습니다. 이러한 내용을
- 과
- 를 활용하여 요약하면 다음과 같습니다:
- 폐암은 폐에서 발생하는 악성 종양이며, 조기 발견이 중요합니다.
- 폐암의 주요 원인으로는 흡연, 환경 오염, 유전적 요인 등이 지목되고 있습니다.
- 폐암은 초기에 증상이 없어 진단이 어려울 수 있으므로 검진이 필요합니다.
- 폐암을 예방하기 위해 특히 흡연을 피하고, 실내 공기를 깨끗하게 유지하며, 체중을 관리하고, 규칙적인 운동을 하는 것이 중요합니다.
- 또한 방사선에 노출되는 것을 피하고, 유해한 화학 물질과 공해된 환경을 피하는 것도 폐암 예방에 도움이 될 수 있습니다.
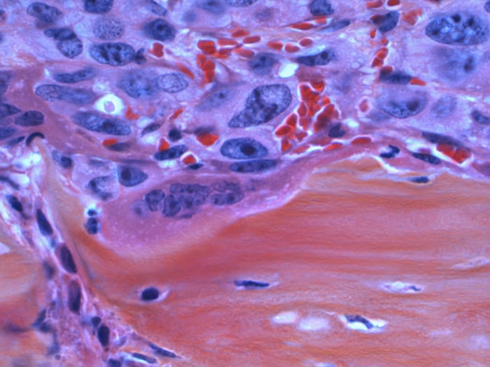
- 폐암은 주로 X-선, CT 스캔, PET 스캔 등의 영상 검사를 통해 진단됩니다.
- 가장 확실한 진단은 조직 검사를 통한 바이오프시로 이루어집니다.
- 수술은 폐암의 초기 단계에서 효과적인 치료 방법 중 하나입니다.
- 방사선 치료와 항암제 치료도 종양을 줄이고 제거하는 데 도움이 됩니다.
- 폐암의 진단 방법
- CT스캔
- 혈액검사
- 유리 표본 검사
- 폐암의 치료 방법
- 수술
- 방사선 요법
- 항암제 치료
- 수술: 초기 단계의 폐암에 대한 가장 효과적인 치료법 중 하나로, 종양 제거를 통해 생존율을 향상시킬 수 있습니다.
- 방사선 요법: 특히 수술이 어려운 환자들에게 유용한 치료법으로, 종양을 줄이고 증상을 완화시키는 데 도움을 줄 수 있습니다.
- 항암 요법: 화학 요법이나 표적 치료를 통해 암세포를 제거하고 생존율을 향상시키는 중요한 치료 옵션입니다.
폐암 생존율을 향상치료 방법 생존율 향상 수술 높음 방사
https://woka.wlog.co.kr/%ed%8f%90%ec%95%94-%ec%b4%88%ea%b8%b0%ec%a6%9d%ec%83%81-%ec%9e%90%ec%84%b8%ed%9e%88-%ec%95%8c%ec%95%84%eb%b3%b4%ea%b8%b0/선
요법중간 항암 요법 높음 - 시키는데
- 가장 효과적인 치료법을 찾기 위해 의료진과 상담하는 것이 중요합니다.폐암의 치료와 생존율에 대해 알아보기 폐암은 조기에 발견되지 않을 경우 치명적인 질병이 될 수 있습니다. 그러나 조기 발견 시 치료가 가능하며 생존율도 높아집니다. 치료 방법에는 수술, 방사선 치료, 항암제 치료 및 면역치료 등이 있습니다. 최근에는 더욱 많은 효과를 보이는 표적항암요법 등도 개발되고 있습니다. 폐암의 생존율은 다양한 요인에 따라 달라집니다. 종양의 크기, 확산 정도, 환자의 건강 상태 등이 영향을 미칩니다. 조기 발견 시 5년 생존율은 70% 이상이지만 고도의 폐암의 경우 5년 생존율은 20% 미만으로 낮습니다. 따라서, 폐암의 치료 및 생존율을 높이기 위해서는 조기 발견이 중요합니다. 정기적인 검진과 건강한 생활습관은 폐암 예방에 큰 도움이 될 수 있습니다.
- 폐암 치료 방법
- 수술
- 방사선 치료
- 항암제 치료
- 면역치료
- 표적항암요법
- 폐암 생존율에 영향을 미치는 요인
- 종양의 크기
- 확산 정도
- 환자의 건강 상태
- 폐암 생존율 통계
- 조기 발견 - 70% 이상
- 고도 폐암 - 20% 미만
- 폐암 예방을 위한 방법
- 정기적인 검진
- 건강한 생활습관 유지
- 폐암 치료 방법
- 폐암 치료와 생존율에 대한 중요한 정보를 알아보겠습니다.



